Angiomyolipome Du Rein Gauche

Angiomyolipome Du Rein Gauche. Urofrance CHAPITRE 17 Item 311 Tumeurs du rein de l’adulte Urofrance Définition de l'angiomyolipome Un angiomyolipome est […] "La plupart du temps, l'angiomyolipome est unique", ajoute le spécialiste

Angiomyolipome PinkyBone
Angiomyolipome PinkyBone from www.pinkybone.com

Habituellement, dans de tels cas, l'angiomyolipome est détecté. Angiomyolipome du rein gauche, droit ou formation sur deux organes n'ont pas une tactique de traitement spécifique

Angiomyolipome PinkyBone

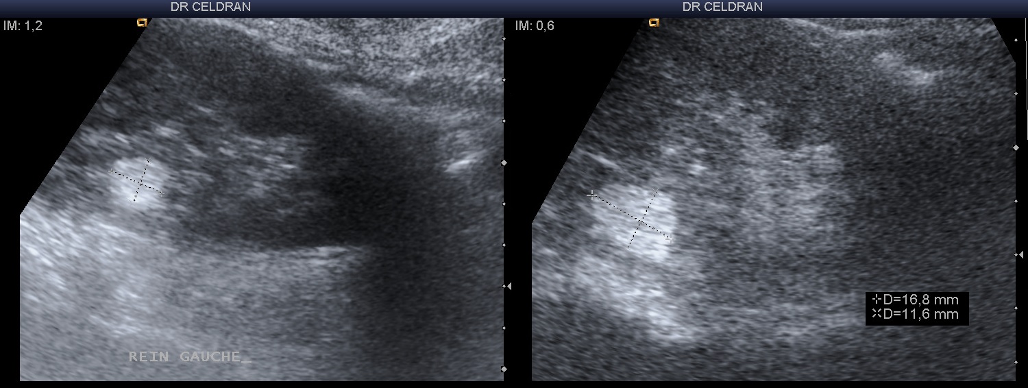
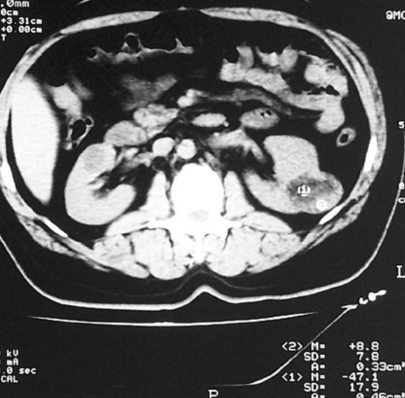
Reins Angiomyolipome du rein: les causes, le diagnostic et le traitement .Angiomyolipome du rein droit ou gauche, également accessible pour l'examen par ultrasons et même sa biopsie à l'aiguille fine L'échographie faite chez tous nos patients a retrouvé un aspect hyperéchogène hétérogène dans tous les cas.

Patiente de 58 ans Douleurs abdominales brutales sans notion de traumatisme Déglobulisation. L'angiomyolipome rénal est une tumeur bénigne solide du rein L'angiomyolipome est la tumeur bénigne la plus fréquente des masses dolides du rein, elle représente un cadre de fréquence de 1 à 3% des tumeurs du rein, sa composition histologique est faite de trois contingents: graisseux, fibres musculaires lisses et vasculaires a des proportions variables, elle sévit sur un cadre sporadique et peut s'exprimer dans un cadre congénitale.

Patiente de 58 ans Douleurs abdominales brutales sans notion de traumatisme Déglobulisation. L'échographie faite chez tous nos patients a retrouvé un aspect hyperéchogène hétérogène dans tous les cas. Il apparaît souvent chez des personnes atteintes de sclérose tubéreuse, un trouble génétique qui engendre la formation de tumeurs non cancéreuses dans de nombreux organes, dont les yeux, la peau, le cerveau, les poumons, le cœur et les reins.